Patient: 60-year-old man from Warsaw, Poland
Symptoms: The man visited the hospital after vomiting for two days. Additionally, over the previous year, he suffered from weakness and effortlessly lost 40 pounds (18 kilograms).
you may like
Doctors treated the patient with intravenous fluids, steroids and calcium-lowering drugs, as well as diuretics to remove excess calcium. His calcium levels temporarily dropped and he was discharged from the hospital with several prescriptions. However, during a follow-up three weeks later, doctors found that his blood calcium levels were rising again and he was admitted to the nephrology ward.
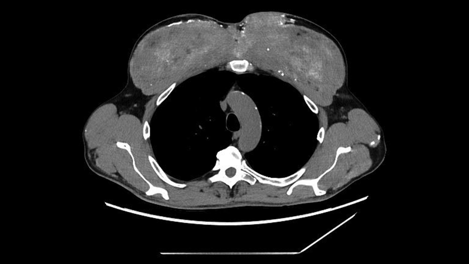
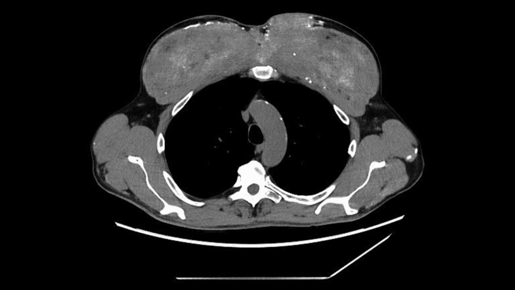
The man’s condition was generally stable, but a physical examination showed significant changes in his upper arm and chest muscles, consistent with the irregularities seen in the scan. Doctors then reviewed the patient’s medical history, and the patient revealed important details. According to the patient’s report, he began receiving “unknown intramuscular injections (possibly containing testosterone)” about 30 years ago to enlarge the muscles in his chest and upper arms.
“He emphasized that the last administration of these injections was given two years ago,” the report’s authors noted. The exact frequency of his previous injections is unknown.
Blood tests showed that the man’s parathyroid hormone, which controls calcium, was significantly low, ruling out common hormonal causes of high calcium. The man also had no signs of hidden cancer in his gastrointestinal tract, urological tests were normal, and there were no signs of autoimmune disease. With other causes ruled out, the medical team biopsied one of the abnormal muscle areas.
Diagnosis: Under a microscope, the muscles were filled with a silicone-like oil-based substance and surrounded by dense calcium deposits. The researchers speculated that the man’s previous intramuscular injections likely contained synthol, a substance made primarily of oil that causes the muscles to visually “plump up,” essentially inflating them like water balloons.
In this case, synthol caused a persistent foreign body reaction. In other words, the body essentially reacts to substances that cannot be broken down. Over time, this reaction causes scarring and calcification, leading to the accumulation of large amounts of calcium within the muscles. And eventually, that calcium entered his bloodstream.
Treatment: Several previous reports of similar cases suggested that surgical removal of the calcified muscle was the only reliable long-term treatment for this man’s persistently high calcium. In one previous patient, calcium levels returned to normal three months after the tissue was removed. However, in this man’s case, the authors did not say whether the patient ultimately underwent surgery, nor did they discuss long-term outcomes.
you may like
What makes this case unique is that synthol injections typically contain 85% medium-chain triglycerides, 7.5% local anesthetics such as lidocaine, and 7.5% alcohol, all purportedly for sterility. Because the oil is not easily processed by the body, it acts as a muscle-building agent, and the effects of the injection can last for years. Synthol is relatively easy to purchase, despite the significant risks associated with muscle deformity, chronic scarring, and scarring.
Only two other cases of high blood calcium associated with synthol injections have been reported, and both were from Lebanon, the case report authors noted. The underlying mechanism causing this effect remains unclear. Synthol’s well-known complications usually appear soon after injection, but in this patient, the effects clearly appeared several years later, making it very difficult to determine the cause.
According to the authors, this case, despite its rarity, adds further evidence that “intramuscular injection of synthol is one of the causes of elevated serum calcium levels.”
For more interesting medical cases, check out our Diagnostic Dilemma archives.
This article is for informational purposes only and does not provide medical advice.
Source link
