Close Menu
  • Home
  • Identity
  • Inventions
  • Future
  • Science
  • Startups
  • Spanish
What's Hot

‘This is fine’ creator says AI startup stole art

In Harvard University study, AI provided more accurate emergency room diagnoses than two human doctors

This tiny magnetic e-reader could stop you from doomscrolling

Facebook X (Twitter) Instagram
  • Home
  • About Us
  • Advertise with Us
  • Contact Us
  • DMCA
  • Privacy Policy
  • Terms & Conditions
  • User-Submitted Posts
Facebook X (Twitter) Instagram
Fyself News
  • Home
  • Identity
  • Inventions
  • Future
  • Science
  • Startups
  • Spanish
Fyself News
Home » Diagnostic dilemma: One man’s back pain led to the discovery of a third kidney
Science

Diagnostic dilemma: One man’s back pain led to the discovery of a third kidney

By March 18, 2026No Comments3 Mins Read
Share Facebook Twitter Pinterest Telegram LinkedIn Tumblr Email Copy Link
Follow Us
Google News Flipboard
Share
Facebook Twitter LinkedIn Pinterest Email Copy Link

Patient: 31-year-old male from Wardha, India

Symptoms: A man presented to the medical center after experiencing pain on the right side of his lower back, a burning sensation when urinating, and a fever of over 102.2 degrees Fahrenheit (39 degrees Celsius) for five days.

What Happened Next: During a physical exam, the doctor noticed that the right side of the man’s abdomen was painful to the touch. Her urine was cloudy, but her heart rate, blood pressure, and breathing were within normal limits.

Article continues below

you may like

Diagnosis: Blood tests revealed that the man had elevated levels of infection-fighting white blood cells. A urine culture identified a type of bacteria called Klebsiella pneumoniae, which is often associated with urinary tract infections, doctors wrote in the case report. Together, these findings confirmed that the man had an active infection.

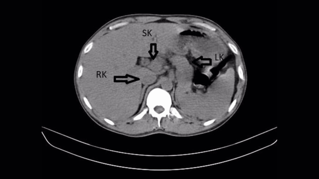
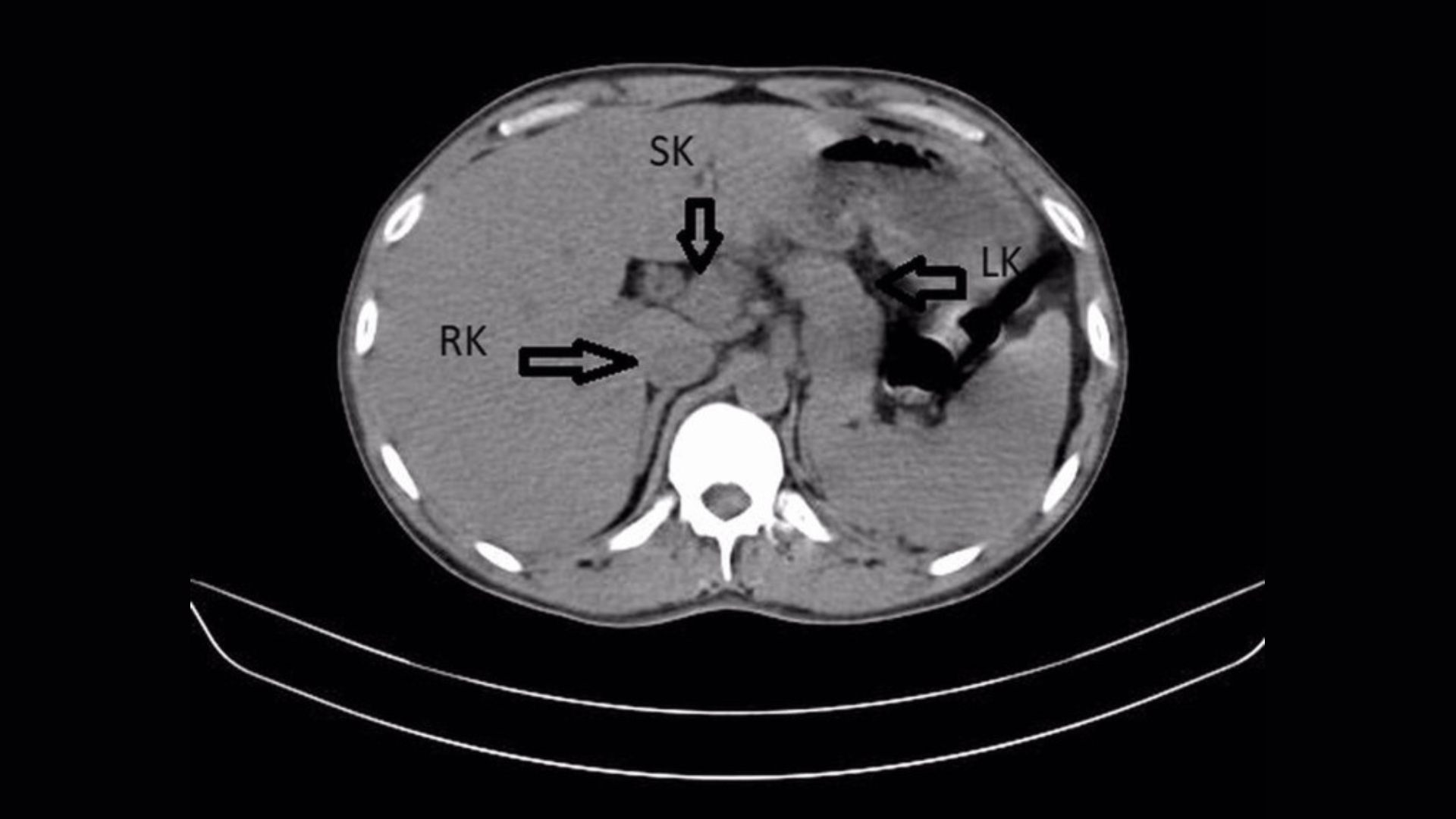
But an additional ultrasound and CT scan of the patient’s abdomen revealed something unexpected. It is the third kidney, also known as the supernumerary kidney. It had fused with the man’s right kidney, forming a horseshoe shape.

Supernumerary kidneys are a birth defect that is thought to appear during fetal development. This occurs due to abnormal cell division in the umbilical cord, which later forms the kidneys. According to the report, an excess of kidneys can lead to kidney infections, but the condition does not always affect normal kidney function and often goes undetected.

In this case, the patient’s left and right kidneys were swollen and showed an accumulation of stones or mineral crystals. These hard crystals form when urine becomes more concentrated. Small “stones” often pass normally when urinating, but if left untreated in the kidney, they can cause an infection.

Get the world’s most fascinating discoveries delivered straight to your inbox.

Signs of infection were more severe in the left kidney, where stones had accumulated in the left ureter, the tube that connects the left kidney to the bladder.

Treatment: Doctors inserted a thin plastic tube called a stent into the left ureter to help drain urine. They then gave the men the antibiotics piperacillin and tazobactam three times a day, and the antibiotic levofloxacin intravenously every other day.

After 48 hours of medication and hydration, the patient’s condition improved. He was discharged from the hospital and told to have the stent removed and to be followed up in a month to manage the stones that had built up in his kidney.

Characteristics of this case: Supernumerary kidneys are extremely rare, with fewer than 100 new cases reported each year worldwide.

A “horseshoe” appearance fused with another kidney is even rarer, with only five cases reported in the scientific literature. The third kidney may be completely separate or loosely connected to another kidney by a thin layer of tissue.

In some cases, patients may discover they have a spare kidney while being treated for an unrelated illness. For example, Live Science previously reported that a Brazilian man discovered he had a third kidney after visiting the hospital for back pain caused by a herniated disc. Doctors performed a CT scan of the area of ​​pain and found that an extra kidney had fused with the right kidney near the man’s pelvis. All three kidneys appeared to be functioning normally, so that was not the cause of the discomfort in this case.

This article is for informational purposes only and does not provide medical advice.

Nimkar, S. V., Yelne, P., Gaidhane, S., Acharya, S., Kumar, S., and Batra, N. (2022). Supernumerary kidney (triple kidney) with horseshoe malformation: a case report. Creus. https://doi.org/10.7759/cureus.31436


Source link

#Biotechnology #ClimateScience #Health #Science #ScientificAdvances #ScientificResearch
Follow on Google News Follow on Flipboard
Share. Facebook Twitter Pinterest LinkedIn Tumblr Email Copy Link
Previous ArticleARCHE2 supercomputer brings £4.2bn benefit to UK economy
Next Article $1.9 million grant set to improve understanding of avian influenza

Related Posts

The universe may end trillions of years sooner than we thought.

April 28, 2026

NASA Curiosity rover discovers rocks containing seven new organic molecules on Mars

April 27, 2026

New study suggests Neanderthals’ brains weren’t to blame for their deaths

April 27, 2026
Add A Comment
Leave A Reply Cancel Reply

Latest Posts

‘This is fine’ creator says AI startup stole art

In Harvard University study, AI provided more accurate emergency room diagnoses than two human doctors

This tiny magnetic e-reader could stop you from doomscrolling

CISA actively exploited Linux root access bug CVE-2026-31431 added to KEV

Trending Posts

Subscribe to News

Subscribe to our newsletter and never miss our latest news

Please enable JavaScript in your browser to complete this form.
Loading

Welcome to Fyself News, your go-to platform for the latest in tech, startups, inventions, sustainability, and fintech! We are a passionate team of enthusiasts committed to bringing you timely, insightful, and accurate information on the most pressing developments across these industries. Whether you’re an entrepreneur, investor, or just someone curious about the future of technology and innovation, Fyself News has something for you.

Castilla-La Mancha Ignites Innovation: fiveclmsummit Redefines Tech Future

Local Power, Health Innovation: Alcolea de Calatrava Boosts FiveCLM PoC with Community Engagement

The Future of Digital Twins in Healthcare: From Virtual Replicas to Personalized Medical Models

Human Digital Twins: The Next Tech Frontier Set to Transform Healthcare and Beyond

Facebook X (Twitter) Instagram Pinterest YouTube
  • Home
  • About Us
  • Advertise with Us
  • Contact Us
  • DMCA
  • Privacy Policy
  • Terms & Conditions
  • User-Submitted Posts
© 2026 news.fyself. Designed by by fyself.

Type above and press Enter to search. Press Esc to cancel.