We’ve all experienced the intense struggle to pay attention after a good night’s sleep. And new research shows what happens in the brain when such emotions arise.
When you stay up all night focused, your brain flushes out cerebrospinal fluid (CSF), which is part of the brain’s waste disposal system that surrounds the brain and spinal cord. When this CSF leaves the brain, it flows back into the brain, according to a study published Oct. 29 in the journal Nature Neuroscience.
you may like
“By measuring so many different kinds of information about the brain at the same time, we found that many things that we initially thought were separate are actually working together,” study co-author Laura Lewis, an associate professor of neuroscience at MIT, told Live Science.
Sleep is extremely important for maintaining brain health, and experts recommend that adults get seven to nine hours of shut-eye each night. Not getting enough sleep has a negative impact on a person’s mental and physical health, and also impairs their ability to pay attention. “However, the neural basis of sleep deprivation-induced attention deficits is still poorly understood,” the authors write in their study.
For the study, they recruited 26 healthy volunteers between the ages of 19 and 40. Of these, 19 were women. All participants participated in two study conditions: well-rested and sleep-deprived, approximately 10 days apart. Half initially completed the session with sufficient rest, while the other half began with a lack of sleep.
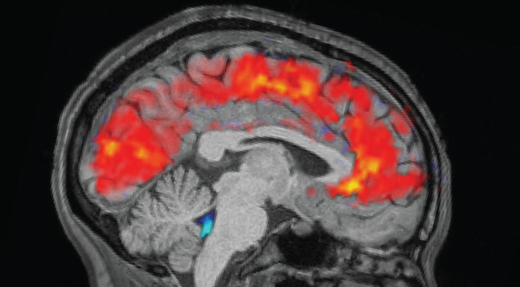
The rested people slept between 6.5 and 9 hours at home, while the sleep-deprived people stayed up all night in the lab. The morning before each experiment, the team fitted participants with electroencephalogram (EEG) caps and recorded their brain waves with electrodes. At the same time, participants underwent functional MRI (fMRI) scans to reveal patterns of blood and CSF flow in the brain. An eye tracker measured the participants’ pupil size.
These are things we don’t usually think of as tightly locked in time: the ability to pay attention to the world and the basic fluid movements in the brain.
Laura Lewis, Massachusetts Institute of Technology
Participants then completed a task that flexed visual and auditory attention. As soon as I saw an image or heard a sound, I pressed a button. The researchers also collected data on baseline brain activity by letting participants rest for 25 minutes without performing any tasks.
As expected, participants took longer to notice the stimuli when they were tired and missed cues more often than when they were well-rested. However, the researchers were surprised to see huge CSF pulsations and slow brain wave patterns in the exhausted people. Both are normally observed during non-REM sleep.
Specifically, this pattern was similar to that seen as humans transition from stage N1 to stage N2, the first two of the three stages of non-REM sleep that people experience during each sleep period. “This has previously only been seen at this scale during sleep,” Lewis said.
you may like
CSF flow is closely related to pupil size, with large amounts of inward flow following pupil dilation and outflow occurring after pupil constriction. This association was more pronounced in sleep-deprived people, which may suggest that the body’s circulatory system supports this connection, the authors write. The flow of CSF also coincided with when people zoned out during work.
“When you become less alert, this fluid is flushed out of your brain, but when you regain attention and start responding to stimuli again, this fluid flows back into your brain,” study lead author Jinong Yang, a computational neuroscientist at MIT, told Live Science.
“These are things we don’t normally think of as being tightly locked in time: the ability to pay attention to the world and the fundamental fluid movements in the brain,” Lewis added.
Researchers suspect that the observed brain patterns may reflect a sleep-deprived brain transitioning into a sleep-like state while still awake. Decreased attention signals the onset of sleep-like brain processes, but they are interrupted before proper sleep begins.
But so far, the functional reasons behind the large changes in blood flow are not clear, Lewis noted. Future studies could investigate whether and how these patterns influence the removal of toxic metabolic wastes from the brain, the authors write.
Michael Chee, director of the Center for Sleep and Cognition at the National University of Singapore, who was not involved in the study, said the study was “an amazing achievement in physiology”. He believes that the autonomic nervous system, which controls unconscious body functions, drives these signals.
“I think the big lesson is, ‘Look, this humble autonomous system that we don’t pay much attention to is actually regulating some of the biggest signal changes, pupil changes, EEG signal changes, BOLD signals. [fMRI] It changes,” he told Live Science.
However, Chee stressed that while most people only get a few hours of sleep on a bad night, the participants experienced a 24-hour sleep deprivation. “It’s a massive operation,” he said, “and it’s an outsized impact.”
Chee added that studying these brain changes in people with sleep disorders could point to new therapeutic targets.
Sleep Quiz: How much do you know about sleep and dreams?
Source link
